
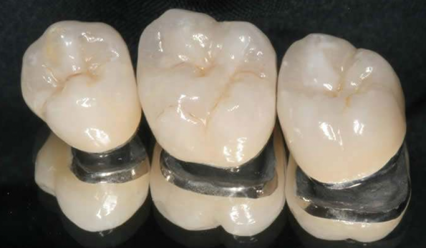
切削纯钛聚合瓷
切削纯钛聚合瓷
采用德国威兰德ZENOTE T1全解剖形态切削技术,聚合瓷专用瓷粉,使用制作。
纯钛烤瓷牙是由99%的纯钛铸造而成,其最大特点是对人体没有任何过敏、有毒等副作用,生物相容性最好。
工艺:
采用数字化扫描设计,成品纯钛金属饼一次切削而成,采用松风公司聚合瓷,最终在烧结炉中完成烧结获得最终的修复体。
适用范围:
中、重度四环素牙、氟斑牙、釉质发育不全、牙齿有裂纹、残缺、坑洞的严重个例,美白效果明显。
产品优势:
1、一次性切削而成,内冠致密性强,无缩孔无氧化物;。
2、不易崩瓷;
3、对人体无毒副作用;
4、生物相容性好,硬度高,质地轻;
5、可在网上进行真伪查询。

激光无铍烤瓷
激光无铍烤瓷
德国激光无铍烤瓷采用进口打印无铍粉运用3D激光堆铸打印技术,3D打印内冠,采用航天技术,内冠更精准,底冠好就位,内冠直接成型,无接口、无缝隙、更密贴,金属致密程度超高,抗扭能力高,厚薄均匀不易崩瓷,金瓷结核性佳。
适用范围:
1、前牙切角、切缘缺损。
2、牙冠部分折裂。
3、因发育或色泽异常而影响美观的患牙,如四环素牙、氟斑牙、无髓变色牙、前牙间小间隙、先天畸形牙等。
4、个别牙高度不足,需升高咬颌者。
产品优势:
1、内冠直接成型,无接口、无缝隙、更密贴、内冠更精准,底冠好就位;
、牙龈边缘无黑线,无厚重感,无牙龈红肿出血现象;
3、与真牙相匹配的透光性,不会有在灯光下“青牙闪闪”的尴尬;
4、与金属烤瓷牙相媲美的抗压强度,完全不必担心瓷崩裂的现象;
5、无不良金属离子渗出,不会影响健康;
6、磨牙较少,更大程度地保留原来的牙齿组织;
7、可在网上进行真伪查询。

激光钴铬烤瓷
激光钴铬烤瓷
采用进口打印钴铬粉运用3D激光堆铸打印技术,3D打印内冠,采用航天技术,内冠更精准,底冠好就位,内冠直接成型,无接口、无缝隙、更密贴,金属致密程度超高,抗扭能力高,配合聚合瓷磁粉,厚薄均匀不易崩瓷,金瓷结核性佳。
技术介绍:
1、采用3D数码定位系统精确分析你的牙齿形态以及病症,成形后的牙齿形态完美。
2、德国VITA比色技术,通过26个牙色层次化类比,色泽逼真,常年保持天然的光泽。
3、美国wind无痛技术,美牙不需动及牙齿根部,解除你爱美又怕痛的顾虑。
4、全新科技的粘贴技术,美牙不脱落。
适用范围:
1、前牙切角、切缘缺损。
2、牙冠部分折裂。
3、因发育或色泽异常而影响美观的患牙,如四环素牙、氟斑牙、无髓变色牙、前牙间小间隙、先天畸形牙等。
4、个别牙高度不足,需升高咬颌者。
产品优势:
1、内冠直接成型,无接口、无缝隙、更密贴、内冠更精准,底冠好就位;
2、牙龈边缘无黑线,无厚重感,无牙龈红肿出血现象;
3、与真牙相匹配的透光性,不会有在灯光下“青牙闪闪”的尴尬;
4、与金属烤瓷牙相媲美的抗压强度,完全不必担心瓷崩裂的现象;
5、无不良金属离子渗出,不会影响健康;
6、磨牙较少,更大程度地保留原来的牙齿组织;
7、可在网上进行真伪查询。